Tout savoir sur la parodontite, une maladie courante
Très commune, la parodontite n’en reste pas moins grave. Elle peut avoir de sérieuses conséquences sur la santé et ne doit donc pas être prise à la légère. Un traitement rapide chez un professionnel s’impose.
Qu’est ce que la parodontite ?
Maladie assez répandue, la parodontite n’est pas forcément facile à détecter si on ne sait pas exactement quoi chercher. Voici quelques informations pour vous éclairer sur le sujet.
La parodontite : une pathologie infectieuse
La parodontite est une maladie infectieuse qui atteint les tissus parodontaux, c’est-à-dire ceux qui vont soutenir la dent. On entend par cela les os, les ligaments, la gencive et le cément (la substance osseuse recouvrant l’ivoire à la racine des dents). La parodontite fait souvent suite à une gingivite (une inflammation de la gencive). Une des difficultés pour la diagnostiquer, c’est que la parodontite n’est pas forcément très douloureuse, donc beaucoup de gens n’y prêtent pas assez attention.
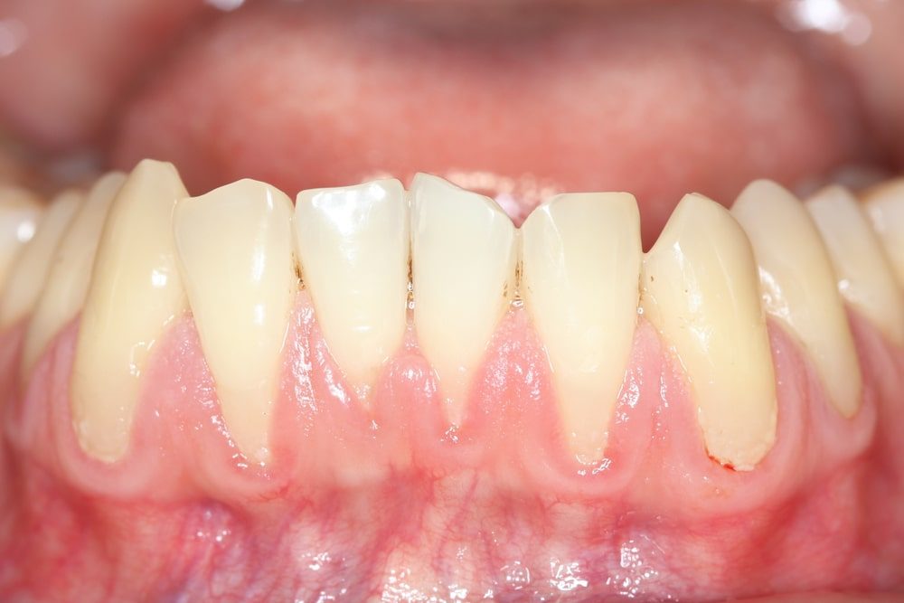
Symptômes d’une parodontite
Pour repérer une parodontite, il faut connaître les signes. N’hésitez pas à consulter si vous avez les gencives rouges, qui saignent et qui commencent à remonter et à découvrir une plus grande partie de la dent. Des espaces entre les dents peuvent également apparaître. Vous aurez une sensibilité dentaire, au chaud et au froid notamment, plus accrue. Une mauvaise haleine est aussi fréquente en cas de parodontite.
Quelles sont les causes de la parodontite ?
Si la parodontite est aussi fréquente, c’est qu’elle peut avoir plusieurs causes différentes. Voyons quelles sont les principales.
Déséquilibre de la flore bactérienne
Chez chaque personne, des bactéries sont normalement présentes dans la bouche, on les appelle bactéries commensales. Cependant, parfois, d’autres bactéries extérieures entrent, on parle alors de bactéries parodontopathogènes. Si ces dernières sont trop nombreuses, une parodontite risque de se développer rapidement.
Affaiblissement du système immunitaire
Comme pour le reste du corps humain, le système immunitaire joue sur la bonne santé de notre bouche. S’il est affaibli, il laissera plus de bactéries en place, qu’il n’arrivera pas à éliminer. Ces dernières seront trop nombreuses et gagneront du terrain. Plusieurs pathologies peuvent alors se développer, parmi lesquelles la parodontite. Si vous prenez un traitement immunosuppresseur, il faut surveiller encore plus attentivement votre santé bucco-dentaire pour éviter les mauvaises surprises.
Hygiène bucco-dentaire
Pour avoir une bonne santé bucco-dentaire, il faut effectuer les bons gestes, notamment en ce qui concerne le brossage des dents. Il n’est pas rare que les personnes atteintes de parodontite se brossent les dents trop violemment, ou pas assez fréquemment. Pour être efficace, le brossage doit avoir lieu deux à trois fois par jour, et surtout durer assez longtemps, au moins trois minutes à chaque fois.
Que risque-t-on en cas de parodontite ?
Même si elle est souvent peu douloureuse, la parodontite n’est pourtant pas sans conséquence. Elle peut évoluer en pathologies plus sérieuses si elle n’est pas soignée correctement ou prise à temps.
Déchaussement des dents
La parodontite entraînant un affaissement de la gencive, les dents peuvent commencer à se déchausser. Elles auront alors tendance à bouger et si aucune mesure n’est prise, elles pourront même finir par tomber, car les tissus parodontaux ne parviendront plus à les maintenir en place.

Des problèmes plus étendus
Comme pour beaucoup de maladies dentaires, la parodontite peut avoir des conséquences étendues à d’autres parties du corps que la bouche. Les problèmes peuvent toucher de nombreux organes à travers des maladies cardiovasculaires, des infections broncho-pulmonaires, ou encore causer des accouchements prématurés. Il est donc primordial de consulter au plus vite en cas de doute pour éviter toute complication de ce type.
Quels sont les facteurs aggravants l’apparition d’une parodontite ?
En plus des causes de la parodontite, plusieurs facteurs peuvent la favoriser.
Le tabac
Mauvais pour les poumons, le tabac est également néfaste pour les dents et les gencives. Il fragilise la bouche de manière générale et nuit à la bonne circulation sanguine. Or, pour être en bonne santé, les gencives ont besoin d’un afflux sanguin suffisant. Il est donc déconseillé de fumer si on a les dents et gencives fragiles.
Certaines pathologies
À l’instar des maladies dentaires qui vont jouer sur d’autres organes, certaines pathologies peuvent fragiliser les dents. Par exemple, le diabète cause une réduction de la production de salive. Les bactéries sont donc plus difficilement éliminées et risquent de faciliter une parodontite. Le VIH de son côté joue sur le système immunitaire qu’il affaiblit considérablement. Il convient d’être deux fois plus vigilant en cas de maladie grave et chronique de ce type.
Des couronnes mal adaptées
Les couronnes ou appareils dentaires peuvent être problématiques, car ils empêchent parfois un nettoyage complet et efficace des dents. Résultat, de la plaque dentaire risque de s’accumuler et avec elle des bactéries nuisibles pour les dents et les gencives.

La génétique
L’apparition d’une parodontite peut être héréditaire si on a des prédispositions génétiques par ses parents. Si des membres de votre famille sont touchés, soyez particulièrement attentif aux symptômes cités plus haut.
Pouvant causer une chute des dents, mais aussi des pathologies lourdes sur le reste du corps, la parodontite doit être surveillée et traitée au plus vite. Si vous avez le moindre doute, consultez un dentiste.



